ABOUT INVISALIGN

矯正治療について知る


これから矯正治療をお考えのあなたへ


「矯正治療」を取り扱っている医院は、一般の歯科医院や矯正専門の歯科医院、はたまた「美容歯科」というものまで非常に多くあります。

どんな違いがあり、どうしたら自分に合った医院を見つけることができるのでしょうか?

このページでは、一般歯科と矯正専門歯科の違いはもちろん「矯正専門医とは?」「セラミック矯正ってどうなの?」など、矯正治療を始める前に知っておきたいトピックについてご紹介いたします。

「矯正医」と「一般歯科医」の違いとは?

厚生労働省の統計によると、全国に歯科医師は約10万人いるといわれています。そのほとんどは「一般歯科」もしくは「総合歯科」で診療を行います。一般歯科(総合歯科)とは、いわゆる「歯医者さん」のこと。虫歯治療、歯周病治療、入れ歯治療、審美歯科治療、インプラント治療等の歯科診療全般を主に行っています。

これに対して矯正医になるためには、一般歯科医と同様に歯学部で6年間勉強したのち、大学院へ進み、更に5年程度矯正治療の専門教育を受ける必要があります。

矯正医の人口は約3,000人ほどしかいません。これは、歯科医師全体(10万人)の中で3%ほどの人口です。

なぜ、これほどまでに矯正医の人数が少ないのか?

実は、日本では一般歯科であっても医院の看板に「矯正歯科」と掲げることは可能とされています。歯科医師免許があれば、矯正医でなくとも実際に矯正治療を行うことも認められているのです。

矯正医の資格自体のハードルが高いこと、そして矯正医の資格がなくとも治療自体は行えることから、矯正治療の専門課程に進む必要性を感じないドクターがいるのもまた事実です。

さらに、矯正医の中でもより専門性の高い知識や技術を持つのが「指導医」「認定医」「専門医」と呼ばれる矯正医です。

「指導医」とは、大学等の教育機関で指導者として在籍した年数を基準として与えられる資格であり、矯正を教育・指導する立場にあることを意味しています。

「認定医」は症例審査などを経て、矯正に関する一定以上の高いレベルが認められてる場合に与えられる資格です。

「専門医」の資格はさらに厳しい審査基準をクリアした矯正医に与えられる資格。矯正医が全体で約3,000人いるのに対して、「専門医」となるとその人数は約450人程度まで減ります。

「専門医」の資格には、下記の3団体が設けた3種類があります。


認定医 指導医 専門医
日本歯科矯正専門医認定機構(JBO)
(約60名)
日本矯正歯科学会(JOS)
(約300名)
日本成人矯正歯科学会(JAAO)
(約90名)

一般歯科で矯正治療を受けるメリットとは?


矯正医や矯正専門クリニックのメリットは、その「専門性の高さ」「知識・技術力」にあることはお分かり頂けたかと思います。

それでは、一般の歯医者さんで矯正治療を受けるメリットが全くないか?というと、それも様々なケースがあり、一概には言えません。

例えば、一般歯科で矯正治療を受ける際には、以下のようなパターンがあります。

  • ①歯科医師(一般歯科医)が矯正治療を行うケース
  • ②矯正医を一般歯科に招いて矯正治療を行うケース

②の場合、矯正治療の診断や処置は矯正医が行うため、専門的な知識や経験を持った矯正医に治療をしてもらうことが可能です。近隣に矯正専門クリニックがない場合などはこうした一般歯科を利用するという方法も有効です。

また、一般歯科で矯正治療を受けるメリットとして、虫歯や詰め物・被せものの治療・抜歯などの処置を受けられるという点が挙げられます。

矯正治療では、虫歯や状態や被せものが取れた状態、歯ぐきに炎症がある状態では治療を進めることができません。

特にマウスピース型カスタムメイド矯正歯科装置(製品名インビザライン完成物薬機法対象外)では、型取りした情報を元にマウスピースを作製する治療方法です。矯正治療の途中で歯を削ったり、被せものをおこなったりすると治療計画を変更する必要があるため、治療期間が延びたり治療のゴールに影響を及ぼしかねません。

また、歯を支える歯肉の健康状態も重要です。歯を支える歯周組織に炎症がある状態で歯を動かすことはいいことではありません。

矯正専門のクリニックでは、一般歯科の治療は行わない場合が多く、他院で治療を終えたのちに再度来院していただく必要があります。これに対して一般歯科では、虫歯などの治療から矯正治療まで、医院を変えずに一貫して行うことができるので、スムーズに矯正治療をスタートすることができると言えます。



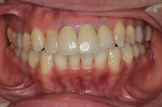
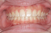
歯並びをきれいにする方法は2つあります


歯並びをきれいにしたいなと思い、インターネットなどで情報収集をしていると“クイック矯正(セラミック矯正)”と呼ばれる治療法を目にすることがあります。

“矯正”という言葉がついているので、矯正治療の一種かと勘違いしそうですが、これは審美補綴治療といって、矯正治療とはまったく違った手法です。


矯正治療


【原理】力を加えて歯を動かす    

【治療期間】1年~3年


クイック矯正・セラミック矯正(審美補綴治療)


【原理】歯を削って形を変える

【治療期間】3~6か月


クイック矯正(審美補綴治療)は、歯を削って形を変えることによって、見た目を変える方法です。一度削ってしまうと元の歯に戻すことができません。近い将来、元に戻す方法が開発される見込みもなさそうです。

一定量の歯を削ると将来のその歯を喪失する可能性が高まりますので、お勧めできる歯科治療ではありません(当院でも取り扱っておりません)。

クイック矯正は、治療期間が短く魅力的ですが、リスクがあります。健康な歯を削って整える方法には慎重になってください。


矯正治療にかかる費用について


矯正歯科治療は、一部の例外を除いて健康保険の対象になっていません(自費治療)
日本矯正歯科学会に健康保険の対象になる例が載っていますので、参考にして下さい。

日本矯正歯科学会ホームページ

自費治療ですので、クリニックによって費用は異なります。
一般的な相場は、子どもの場合30~40万円。大人の場合、70~90万円となっています。
費用に幅がありますが、次のような理由が挙げられます。

  • ①不正咬合の状態
  • ②装置の種類
  • ③医師の技術力(経験・技術力など)の違い

①不正咬合の状態による価格差(例)


軽度のでこぼこ70万円⇔抜歯を伴う矯正治療80万円

②装置の種類による価格差(例)

唇側からの矯正治療70万円⇔舌側矯正120万円

上記は一般的な矯正治療費のイメージであり、当院の料金設定ではありません。

当院の料金プランについて


矯正治療にかかる治療期間は一般的に2~3年


矯正治療は、人間の身体の生理現象を利用して歯を動かしています。歯が移動するスピードは月に1.0mm程度と言われており、その生理現象の速度を超えて歯を動かす事ができません。その移動量を積み重ねることで予定する位置まで移動させるため、動かす距離、本数が多ければ多いほど時間がかかってしまいます。

歯並びのタイプや年齢、どの様に治療するかによって異なりますので、「このような場合は〇年かかります」と一概に言えませんが、一般的な治療方法では治療期間1.5~3年程度の間、毎月1回程度通院していただきますので20から40回ぐらいです。

それ以外にも装置の不具合やお痛みなどがある場合にはその都度通院していただくことがあります。マウスピース型カスタムメイド矯正歯科装置(製品名インビザライン 完成物薬機法対象外)などのマウスピース型矯正装置の場合は、定期的な通院が少ないことに加えて、緊急性の高い不具合が少ないため通院回数は一般的な矯正治療に比べて少なくなります。



矯正治療で歯をどんどん動かしているときは1から2ヶ月に1回の通院間隔です。歯を動かし終わり、歯の安定を待っている保定期間は、4から6ヶ月に1回の通院間隔です。

治療期間は歯並びのタイプで大きく異なり、また子供の矯正治療など成長発育を利用する場合でも変わってきます。一般的な成人の矯正治療で1年6ヶ月から3年程度です。小児期の矯正治療が2から3年程度です。


治療後の「保定期間」とは?

矯正治療は、装置が外れたら終わりではありません。

矯正期間が終わってすぐに装置を外してしまうと、歯は力から解放されて元の場所に戻ろうと動き出してしまいます。

そのため、矯正治療が終わったら、歯並びを定着させるために「保定装置」を必ず装着する必要があります。保定をきちんと行うことができると、「歯並びがもどってしまった!」という後戻りに悩むこともありません。

保定装置を使用する期間は、症状によって様々ですが、一般的に矯正治療にかかった時間と同程度の期間装着するケースが考えられます。

後戻りを防ぐ保定装置について


心・体への影響について


矯正歯科治療とは、口元の形を整え、歯並びをきれいに揃え、むし歯や歯周病になるのを防ぎ、発音を明瞭にするとともに、食物をよく咬めるようにして、健康と美しさを一段と増進させようとする医学です。明眸皓歯といわれるように、明るく澄んだ目ときれいに並んだ白い歯は、その人の健康的な美しさを表す最も大きな要素です。


美容的な改善


  • 口元の形を整える
  • 歯並びをきれいに揃える
  • 横顔美人になる(イーライン)


機能的な改善


  • きちんとした発音で声を発する事が出来る
  • 顎と咬み合わせのバランスを調整する事で、姿勢や体の機能を改善する
  • 歯の清掃性を良くし、歯の寿命を延ばす予防的な効果(歯周病予防)がある
  • 食べ物をしっかりと噛み砕く事で消化を良くし、胃腸の働きを助ける


心理的な改善


  • 人目を気にして自分の感情を出せなくなることがなくなる
  • 自分の笑顔に自信が持てるようになる
  • オシャレ、化粧が楽しくなる
  • 前向きな気持ちになる


矯正治療のデメリットとは?


矯正治療では、少なからず痛みを感じることがあります。しかし、その感じ方には個人差があります。

矯正治療では、数十グラムから150グラム程度の力(矯正力)を歯に加えて移動させます。その時に、歯の周りの組織が圧迫され、それを痛みとして感じます。しかし、通常は3〜4日くらいで慣れてしまいます。

特に子供の場合は、ほとんど痛みを感じない場合もあります。痛みに敏感な人は、市販の痛み止めを服用しても大丈夫です。いずれにしろ、生活に差し支えるような事はありません。


矯正治療をするリスク


一般的なリスクと致しましては、むし歯、歯ぐきの変化やまれにかみ合わせが変化することによる顎関節の症状などが挙げられます。

装置がつくとどうしても汚れが溜まりやすく、歯ブラシの毛先が歯の表面に上手く当てられないので、歯みがきが難しくなります。どのような方法で磨けば良いかお教えしますので、ご家庭でも実践されて治療期間中に虫歯を作らないようにしましょう。せっかく矯正治療でキレイな歯並びになっても、虫歯でボロボロでは悲しいですから。

また、矯正治療は患者様の貴重なお時間とお金を費やして行っていただくものです。矯正治療には、患者さんの治療を成功させ、キレイな歯並び、正しいかみ合わせを手に入れたいという強い気持ちが不可欠です。治療を最後まで完了できずに治療途中で中断してしまうと予定した治療結果が得られません。費用と時間を費やしたのに、こんなはずではなかったということにならないようにしたいものです。


対象年齢について


矯正歯科治療を開始するのに最適な年齢があります。

歯を移動して矯正歯科治療すること自体は何歳からでもできますが、最適な時期ということであれば、歯並びのタイプによって個々に異なります。歯がデコボコ(八重歯)の場合は大人になってからでも十分矯正歯科治療できますが、上下の顎の関係が悪い(出っ歯や受け口など)ような不正咬合では、顎の骨が成長している時期から矯正歯科治療しはじめた方が良いことが多いです。

治療時期の判断は矯正歯科専門医でないと分からないことが多いため、早めに相談だけでもしておくことが大切です。小学校入学時にチェックしておけば安心です。

お口の中の状態によりますが、何才からでも矯正治療を行なうことが出来ます。

私の経験では70歳をから矯正治療を始めた方もいらっしゃいます。いまは40代50代の方も矯正治療を行っています。子供の頃に矯正しようと思ったけれどなかなか踏み出せずに、最近生活も落ち着いてきたので始めようと思った、そんなお話を良く聞きます。

お子様の歯並びを気にされてご両親が治療を希望されて来院される小学生の方から、例えば失った歯を回復するに際して、より良い歯科治療を受けるためにかかりつけの歯科医師の先生から矯正治療の必要性を指摘されて来院される年配の方まで矯正歯科医院を受診されるきっかけや年齢層は様々です。


年齢別の矯正治療