正中離開(すきっ歯)
正中離開(すきっ歯)とは?
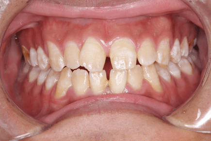
特に、上あごの真ん中の歯の間にすき間がある状態のことを指します。
正中離開(すきっ歯)の原因とは?
原因はさまざまです。舌の癖などで歯が押され隙間が開いてしまっている場合もありますし、上唇小帯という歯ぐきのヒモのようなものの異常による場合などもあります。

正中離開(すきっ歯)を放置するリスクとは
正中離開は歯並びの中でも非常に目を引く、目立ちやすい部分ですので気になっていらっしゃるのであればそれを放置するというのは患者様にとってストレスかもしれません。
また、歯科医学的にも歯と歯の隙間が開いていることで歯ぐきを痛めやすいことや、上唇小帯が原因であれば歯磨きがしにくかったり、唇の動きによって歯ぐきが引っ張られるため歯周病になりやすいということなどもリスクとして考えられます。
歯科医師に直接ご自身の歯並びをチェックして欲しい方は初診カウンセリングをご利用ください。
当院が使用するマウスピース型カスタムメイド矯正歯科装置(製品名 インビザライン 完成物薬機法対象外)は、日本国内の医薬品医療機器等法(薬機法)における医療機器および歯科技工士法上の矯正装置に該当しません。日本薬機法上の医療機器として認証・承認を得ていない装置であるため、担当歯科医師の全責任において治療が行われます。
▼より詳しいご説明はコチラから
マウスピース型(カスタムメイド)矯正装置とは?
治療内容 | ■当院で行う矯正治療は、マウスピース型カスタムメイド矯正歯科装置(製品名 インビザライン 完成物薬機法対象外)を1日20時間以上(目安)装着して歯を移動させる治療法です。 ■1週間~2週間毎に患者様ご自身で新しい装置へ交換していただくため、自己管理が重要です。 ■装置の枚数、交換のタイミング、治療期間は患者様ごとに異なるため、担当医の指示に従って治療を受ける必要があります。 |
|
治療にかかる費用 | ■個々の症例により異なりますが、全顎の矯正治療にかかる費用は440,000円~880,000円 (税込み)です。 ※矯正治療は自費診療(保険適応外)となります。 ※適応は限られますが、軽度の方や部分矯正が可能な方に対応したものもございます。 |
|
考えられるリスク・注意点 | ■マウスピースは担当医の指示に従い、1日20時間以上装着する必要があります。 ■口腔内の状況に応じて、本矯正治療では対応できないこと・または補助矯正器具が必要になるケースがあります。 ■装着時間や経過観察を正しく行えない場合、良好な治療結果が得られない・治療期間が延長するなどのリスクが考えられます。 ■新しい装置に交換後1~3日ほどは痛みや違和感が出ることがあります。 ■治療後には、後戻りを防ぐために保定装置(リテーナー)の装着が必要です。 ■薬機法未承認の矯正歯科装置であり、医薬品副作用被害救済制度の対象外となる場合があります。 |