前歯だけ矯正したい!部分矯正の費用と実際の症例のご紹介
【監修医:矯正歯科学会 認定医&指導医 増岡 尚哉】
歯の矯正といえば、歯全体に矯正装置を付けるイメージがあると思います。実は「部分矯正」という選択もあるということをご存知でしょうか?
前歯の部分矯正を行うだけでも、口元だけでなく顔の印象も変わります。治療をあきらめていた方にお勧めの方法です。
【目次】
1、部分矯正で前歯の歯並びだけを治すことも可能です
・前歯のみの部分矯正のメリット
・前歯のみの部分矯正のデメリット
・インビザライン部分矯正と全顎矯正の比較表
2、前歯矯正の治療期間と費用について
・部分矯正の治療方法は大きく分けて2つ
3、当院の部分矯正の治療ケース
・治療例①部分矯正: 28歳
・治療例②部分矯正: 23歳
4、前歯のみの矯正のご相談も受け付けております
部分矯正で前歯の歯並びだけを治すことも可能です
部分矯正は症例にもよりますが、前歯だけの矯正は可能です。
しかし、前歯だけの歯並びの改善を目的としている為、奥歯のかみ合わせの改善や全体の仕上がりには限界があります。
前歯の矯正を行う前にしっかりメリット・デメリットを理解しておきましょう。
前歯のみの部分矯正のメリット
1、全顎矯正と比べて費用を抑えることができる
全顎矯正に比べると、費用を抑えることができます。お口の中の状況や、治療方法によっても異なりますが、一般的な費用で30~80万円程度です。
2、比較的短期間で調整が可能
前歯の部分矯正は比較的短期間で矯正が可能です。奥歯に比べると前歯は根っこが短く歯を動かしやすいため、短期間ですみます。
全顎矯正だと1年半~2年半ほど期間を必要としますが、前歯の矯正は半年~1年ほどと、短期間で改善することができます。
3、かぶせ物をせずにきれいな歯並びになる
かぶせ物で前歯の歯並びを改善する「セラミック矯正」という治療法が、自分の歯を大きく削る必要があります。
前歯の矯正は自分の歯を動かすため、歯本来の機能を失うこともなく、かぶせ物が外れたり、かぶせ物の内部が虫歯になったりというリスクもありません。
前歯のみの部分矯正のデメリット
1、かみ合わせの改善はできない
歯の一部を動かすため、奥歯のかみ合わせの改善は見込めません。全顎矯正では見た目はもちろん、かみ合わせまで含めて整えることが可能です。
かみ合わせが改善させることによって、歯にかかる力がバランスよく分散されるようになり、生涯にわたってご自身の歯を残すことにもつながります。
2、歯を動かすスペースを確保するため歯を削る必要がある
でこぼこした歯を改善するにはスペースの確保が必要です。
そのためには場合によっては歯と歯の間を少し削る必要があります。これをIPRと言います。
3、誰でも受けられる治療方法ではない
前歯の部分矯正では、前歯以外の歯は動かしません。つまり、限られたスペースに歯を並べなければなりません。
そうなると、小さなバッグに荷物を詰めればバッグがパンパンになるように、口元に突出感が出てしまうケースもあります。
部分矯正は歯の移動量も少なく、また費用も全顎矯正に比べて安いことから気軽なイメージが浸透しつつあります。
実際に「部分矯正だとどのくらい治りますか?」というご相談をいただくことがあります。
”完ぺきではなくてもいいので、部分矯正の範囲内である程度きれいにしたい”
というお気持ちは、私たちも非常に共感いたします。
ただ、ここでひとつ注意したいのは「目的と手段が別になってしまっている」ということです。
どういうことかというと、最終的なゴール(歯並び)に向かって手段(全体矯正か、部分矯正)を考えているのではなく、部分矯正という手段ありきでゴールを決めてしまっている、ということです。
矯正治療では、見た目や機能面について総合的に「理想とするゴール」を定めます。ですから、そのゴールを崩すということは、見た目や機能面で何かしら問題が残る可能性があります。
ですから、前歯だけの矯正治療を行う場合は歯科医師とよく相談し、矯正のゴールを決める事が非常に重要です。
部分矯正をお考えの方は、担当医に希望を伝えたうえで、「部分矯正と全体矯正で治した場合に何が違うのか」ということをしっかりと確認されることをお勧めします。
インビザライン部分矯正と全顎矯正の比較表
部分矯正と全顎矯正の違いを以下の表にまとめました。
治療期間や費用だけで見ると、部分矯正の方が全顎矯正より半分で済むため、メリットのように感じられます。
しかし、部分矯正では歯並びが改善されないため、治療後もかみ合わせや歯周病や虫歯といった口腔内のリスクは残ったままになっています。
こういった理由から、長い目で考えた場合、部分矯正より全顎矯正が望ましい場合が多いのです。
| 部分矯正 | 全顎矯正 | |
| 治療期間 | 6~12ヶ月 | 18~24ヶ月 |
| 費用 | 30~80万円 | 80~100万円 |
| 対応症例 | 限定的 | 幅広い |
| 噛み合わせの改善 | × | 〇 |
| 治療後の虫歯・歯周病のリスク | 歯並びが改善されないため、リスクは高いまま | 歯並びが改善され、リスクは低くなる |
前歯矯正の治療期間と費用について
歯のなかでもっとも人目につきやすく、印象づけるのは「前歯」です。
歯並びが整うだけで、笑顔の雰囲気は驚くほど変わります。前歯のみの「部分矯正」の治療期間や費用をお伝えします。
部分矯正の治療方法は大きく分けて2つ
部分矯正の場合でも、主な方法はマウスピースとワイヤー矯正(表側・裏側)の2種類です。ワイヤーによる部分矯正は表側か裏側に装置をつけます。
〈装置を表側につける場合〉
前歯の表側にワイヤーやブラケットを付けて歯を動かしていきます。
動かす隙間がないときは歯を少しスライスして隙間を作ります。削る量は歯へのダメージがない程度を削ります。
〈装置を裏側につける場合〉
歯の裏側に装置を付けるため、パッと見た感じは矯正をしていることが分かりづらいため、矯正治療での見た目が気になる方は裏側矯正をおすすめします。
〈マウスピース矯正の場合〉
マウスピースを使用するので目立たず、前歯の矯正治療であっても人目を気にする必要がありません。
通常の矯正とは違い、お口の中を専用の機械でスキャンし、どのような状態になっていくのかを事前にシミュレーションすることができます。
当院が取り扱っているマウスピース矯正では、前歯のみの部分矯正をおこなう「マウスピース型カスタムメイド矯正歯科装置(製品名インビザラインGO 完成物薬機法対象外)」というプランや、部分矯正と全体矯正の中間のような「マウスピース型カスタムメイド矯正歯科装置(製品名インビザラインライト 完成物薬機法対象外)」といったプランもあります。
いずれのプランも、全体矯正の半分ほどの費用で治療を行うことが可能で、矯正治療の再治療などで用いられることもあります。
〈料金・期間〉
ワイヤー矯正の場合期間は2年〜3年程度。裏側矯正であれば2年〜3年程度かかることもあります。
かかる費用としては表側矯正70万円〜105万円程度、ただし裏側矯正は裏側矯正100万円〜150万円がかかります。
マウスピースの場合期間は半年~1年半程度、料金は30万~60万円程度かかります。
マウスピース型カスタムメイド矯正歯科装置(製品名インビザラインGO 完成物薬機法対象外)は、軽度な治療に適しているということもあり、3か月~半年程度で改善することができます。
当院の部分矯正の治療ケース
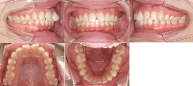
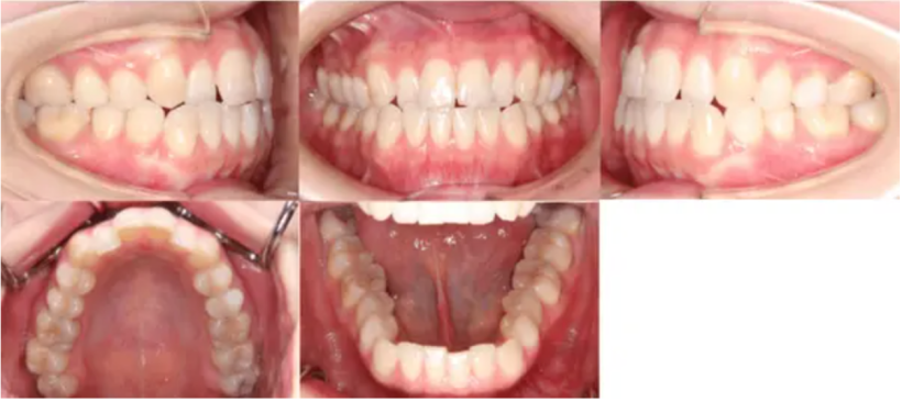
治療例①部分矯正: 28歳
| 主訴 | 前歯がガタガタである |
| 治療内容 | マウスピース型カスタムメイド矯正歯科装置(製品名インビザラインライト 完成物薬機法対象外)を使用して主訴である前歯の交叉咬合を改善しつつ、下あご前歯のガタガタも改善した。 |
| 治療期間 | 10カ月 |
| 費用 | 40万円 |
【治療前】
【治療後】
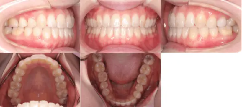
治療例②部分矯正: 23歳
| 主訴 | 前歯が出ている |
| 治療内容 | 前歯に隙間があり、ねじれてしまっていたため、マウスピース矯正で治した。 |
| 治療期間 | 6カ月 |
| 費用 | 40万円 |
【治療前】
【治療後】
治療例①②のように部分矯正によって改善された事例もありますが、部分矯正から全顎矯正に変更したことで歯並びが揃った症例もあります。
前歯のみの矯正のご相談も受け付けております
当院ではもちろん部分矯正に対応しておりますが、安易にお勧めすることはありません。
CTスキャナーやセファロでしっかりと歯の状態を精密に検査した後に、部分矯正で対応可能な症例かどうかを判断しております。
部分矯正のメリットだけを見て、歯並びを重視せずに部分矯正をした結果、
「満足いく結果にならなかった」
「部分矯正では対応できずに途中で全顎矯正に切り替えたせいでかえって費用と時間が倍増した」
と他院から転院された患者様も多く見てきました。
矯正は決して安いものではありません。
だからこそ、当院では患者様が納得し、最終の仕上がりにご満足いただけるように、慎重に治療計画を立てています。
「前歯だけ治療したい」
「部分矯正できるかな」
そんな悩みがありましたら、まずは当院の初診カウンセリングやメール相談(いずれも無料)をご利用ください。
患者様の最善の治療方法をご提案いたします。